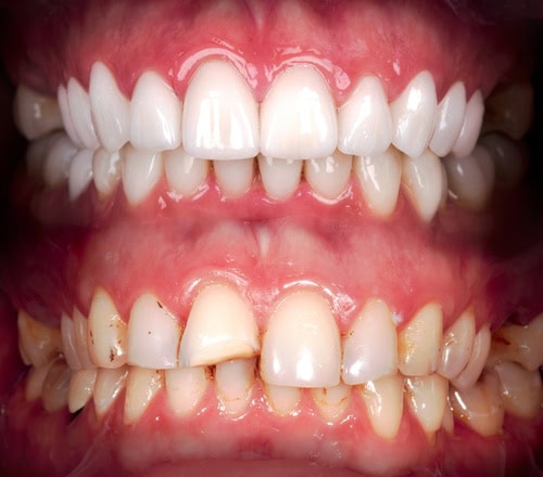
Dental Bonding in Jasper, AL
Our teeth endure a lot each day, and despite our best efforts to care for them, issues like decay, discoloration, or injury are common. In fact, the National Institutes of Health reports that chipped or cracked teeth are the most frequent dental injuries among American adults. Dental bonding is an excellent option for those who need a simple solution for smaller cosmetic concerns. It’s a quick, effective, and affordable treatment that uses tooth-colored resin to reshape, resize, or restore a damaged tooth, revitalizing your smile without extensive procedures.
Understanding Dental Bonding
During the dental bonding procedure, we apply a tooth-colored resin material to the surface of your teeth to fix various imperfections. This resin is the same material we use for composite dental fillings. We shape it carefully to improve the appearance and strength of your teeth while reducing sensitivity and protecting against further damage.
At Bivona Family Dentistry, we can use dental bonding to correct the following concerns:
- Cracked or chipped teeth
- Minor tooth decay
- Gaps between teeth
- Tooth discoloration
- Tooth sensitivity
- Misshapen or small teeth
Dental bonding is excellent for fixing minor tooth issues, while other cosmetic treatments are more suitable for comprehensive smile makeovers. Ceramic crowns or veneers, for example, are remarkably durable restorations with tremendous aesthetic value. The ceramic material blends seamlessly with your natural teeth, providing a flawless and natural-looking result.
Benefits of Dental Bonding
With various cosmetic treatments available to improve your smile, why do patients choose dental bonding? One of the biggest advantages is how efficient and straightforward the process is. Unlike treatments like dental veneers, which take multiple visits, we can complete your bonding treatment in just one appointment. You’ll be able to resume daily activities immediately without needing a long recovery period.
Dental bonding is also a minimally invasive procedure that preserves your natural teeth. While veneers and crowns require us to remove healthy enamel, bonding leaves your tooth structure intact. In fact, many patients don’t even need anesthesia, making it a great option if you’re feeling anxious about treatment.
Perhaps one of the most comforting aspects of bonding is that it’s reversible. If you decide in the future that you’d like veneers, for instance, we can easily make the necessary changes. This flexibility gives you peace of mind, unlike more permanent treatments where alterations require repeating the process.
The Bonding Process
The dental bonding process is simple yet effective.
- Consultation: At your initial consultation, we will discuss your needs and preferences to determine which procedure best meets your needs. Our goal is to restore your teeth and enhance your smile so that you can feel confident and happy without worrying about how your teeth look.
- Application: Before we apply the resin, we roughen the surface of your teeth and apply a conditioning liquid. This solution helps the bonding material adhere more quickly and effectively. Once we prepare the surface, we apply the putty-like bonding material to your teeth and carefully mold it to the desired shape.
- Completion: After carefully shaping the resin, we apply a special curing light to bond it securely to the surface of your teeth—hence the name dental bonding. Finally, we make any necessary adjustments to ensure your teeth look natural.
Caring for Your New Smile
You can care for bonded teeth much like your natural ones. Brush twice a day, floss daily, rinse with antibacterial mouthwash, and attend regular dental checkups. With good oral hygiene, dental bonding can last for many years.
However, there are a few key differences between bonding material and natural teeth. Composite resin, for example, is generally more prone to staining. To keep your smile bright, you can limit foods and beverages known to cause discoloration, such as coffee, tea, berries, soda, and red wine—especially in the initial days following the procedure. Additionally, unlike natural teeth, composite resin doesn’t respond to whitening treatments. If it becomes stained over time, replacement may be the best option. The bonding material can also chip, so avoid chewing on ice, eating hard candies, or using your teeth to open packages—just like you would to keep your natural teeth in good shape.
If needed, we can easily touch up or polish your bonding to keep your teeth looking beautiful.
Enhance Your Smile With Dental Bonding
Dental bonding is a quick, conservative way to fix minor imperfections like chips or gaps while keeping your natural tooth structure intact. At Bivona Family Dentistry, we use minimally invasive and affordable bonding techniques to create beautiful results that blend seamlessly with your natural smile.
Schedule a consultation to learn how this straightforward procedure can enhance your smile!
Frequently Asked Questions
The results of your treatment can last many years with proper care and maintenance. In some instances, it can even last a lifetime! However, it may require occasional touchups or polishing, depending on wear and tear. In general, the durability of bonding depends largely on the location and extent of the repair and the effectiveness of your oral care routine.
No. Dental bonding is a conservative cosmetic procedure, so the treatment shouldn’t be painful. The process adds material to the tooth structure, which we can shape and harden to meet your cosmetic goals. Since it involves minimal alteration to your natural tooth structure, there’s typically no need for anesthesia. Still, patients with very sensitive teeth may feel mild, brief sensitivity after the procedure.
Yes, the composite resin hardens completely during curing so you can eat and drink immediately after your procedure. However, your teeth could be slightly sensitive to hot and cold for a few days, and you should avoid hard or crunchy foods for about 24 to 48 hours.
